Поломки Сломал детальку? Покажи другим, расскажи, как тебе это удалось.
Ответить
Перейти к новому Перейти к новому   Опции темы Опции просмотра
Сломал давно - выкладываю щас... | by Лазарев Кирилл
Непрочитано 03.10.2005, 15:29   # 1
 
Аватар для Лазарев Кирилл
 
Регистрация: 11.10.2004
Адрес: Мытищи, пос. Строитель
Сообщений: 126
Лазарев Кирилл вне форума
По умолчанию Сломал давно - выкладываю щас...
Случилось это в Сентябре прошлого года, на дёрте Олешки, в Измайловском парке. Я тогда 100% донором был, а адреналину хотелось... Ну вобщем перелетел я прилично на верблюде.
Результат - сломанная ключица, три ребра, лопатка. Самые сильные воспоминания, это как я верхушки деревьев увидел, очнулся - пот градом, дышать не могу, но ничего не болит. Хорошо друзья сомной были, довезли до больницы. Скоро лягу железочку эту выкручивать.
Теперь - я донор в триале.
Миниатюры
Нажмите на изображение для увеличения
Название: _________181.jpg
Просмотров: 598
Размер:	97.2 Кб
ID:	5295   Нажмите на изображение для увеличения
Название: ________842.jpg
Просмотров: 553
Размер:	100.6 Кб
ID:	5296  
Цитата
Непрочитано 03.10.2005, 15:45   # 2
кусачий
 
Аватар для vampir
 
Регистрация: 03.02.2004
Адрес: Вологда
Возраст: 38
Сообщений: 6,386
Записей в дневнике: 33
Байк: разный мод
Отправить сообщение для vampir с помощью ICQ
vampir вне форума
НИЧЕГО СЕБЕ у меня нет слов
Цитата
Непрочитано 03.10.2005, 15:48   # 3
 
Аватар для kamez
 
Регистрация: 19.04.2005
Адрес: перебрался в Москву :)
Возраст: 35
Сообщений: 884
Байк: в процессе сбора
kamez вне форума
них.. се..

сочувствую. писец просто

ЗЫ: моя подпись к этому отношение имеет
Цитата
Непрочитано 03.10.2005, 18:33   # 4
 
Аватар для Deftones
 
Регистрация: 06.07.2004
Адрес: Санкт-Петербург
Сообщений: 6,026
Отправить сообщение для Deftones с помощью ICQ
Deftones вне форума
Донор - это я так понимаю человек который катает без защиты вообще или в недостаточном её количестве. Ну что могу сказать, все таки надо быть не очень донором. Я правда пока себе ногу не покрамсал на свастики, что ходить пару дней не мог, тоже защиту голени не покупал...
Цитата
Непрочитано 03.10.2005, 19:48   # 5
 
Аватар для exsentrik
 
Регистрация: 31.10.2004
Адрес: Москва
Сообщений: 231
exsentrik вне форума
Я так понимаю на фото сломанная ключица, у тебя привезали плостину металлическую а у моего друга на снимке прямо в ключитцу вбид штыри (металлический), сочуствую неприятная штука...
Цитата
Непрочитано 12.10.2005, 23:20   # 6
 
Аватар для zhenya_[katze]
 
Регистрация: 01.06.2005
Адрес: Таллинн
Возраст: 36
Сообщений: 4,076
Байк: TSB Cruel 26"
zhenya_[katze] вне форума
у меня тоже дома гдето такие свои фотки есть
Цитата
Непрочитано 31.10.2005, 14:55   # 7
 
Аватар для Gudron07
 
Регистрация: 30.10.2005
Адрес: Минск
Сообщений: 16
Gudron07 вне форума
По умолчанию Re: Сломал давно - выкладываю щас...
Цитата:
Сообщение от Лазарев Кирилл
Случилось это в Сентябре прошлого года, на дёрте Олешки, в Измайловском парке. Я тогда 100% донором был, а адреналину хотелось... Ну вобщем перелетел я прилично на верблюде.
Результат - сломанная ключица, три ребра, лопатка. Самые сильные воспоминания, это как я верхушки деревьев увидел, очнулся - пот градом, дышать не могу, но ничего не болит. Хорошо друзья сомной были, довезли до больницы. Скоро лягу железочку эту выкручивать.
Теперь - я донор в триале.
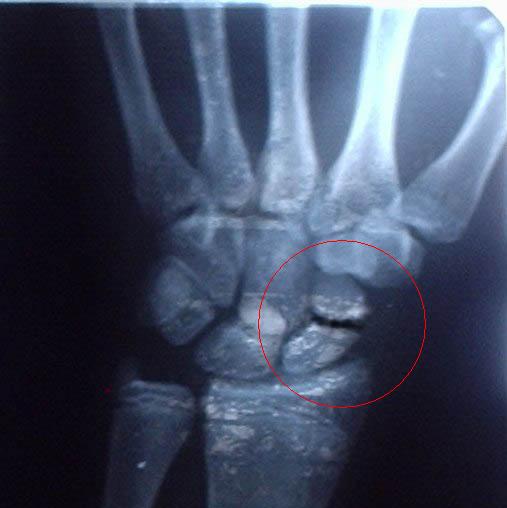
а ВОТ И МОЯ РУКА . СЛОМАЛ В АВГУСТЕ НЕ СРОСТАЕТСЯ ТАК ДО СИХ ПОР И КАТАЮСЬ.
Миниатюры
Нажмите на изображение для увеличения
Название: gudron_911.jpg
Просмотров: 2613
Размер:	36.8 Кб
ID:	6041  
Цитата
Непрочитано 08.11.2005, 18:40   # 8
 
Аватар для Lex
 
Регистрация: 01.02.2004
Адрес: Москва, Войковская
Сообщений: 294
Отправить сообщение для Lex с помощью ICQ
Lex вне форума
А я сломался на дёрте. Поставили "железочку" (кстати, в аэропорту она не пищит ). А через месяц убрался на сноуборде. Вот результат. Ща так хожу. Уже почти год.
Миниатюры
Нажмите на изображение для увеличения
Название: _______1_190.jpg
Просмотров: 2570
Размер:	19.1 Кб
ID:	6230  
Цитата
Сломал давно - выкладываю щас... | by Лазарев Кирилл
Ответить


Ваши права в разделе
Вы не можете создавать новые темы
Вы не можете отвечать в темах
Вы не можете прикреплять вложения
Вы не можете редактировать свои сообщения

BB коды Вкл.
Смайлы Вкл.
[IMG] код Вкл.
HTML код Выкл.

Быстрый переход


Часовой пояс GMT +4, время: 10:30.


Powered by vBulletin® Version 3.8.4
Copyright ©2000 - 2025, Jelsoft Enterprises Ltd. Перевод: zCarot