F.A.Q. У тебя, наверное, появилось много вопросов? Задай их в этом форуме, и тебе обязательно ответят!
Ответить
Перейти к новому Перейти к новому   Опции темы Опции просмотра
Как здоровье?? | by Stan™
Непрочитано 29.02.2008, 11:17   # 1
 
Аватар для Stan™
 
Регистрация: 14.09.2003
Адрес: Новогиреево
Сообщений: 131
Stan™ вне форума
По умолчанию Как здоровье??
Я хотел спросить!!!!???
У кого какое здоровье стало после катания на байке???
Вот например я ломал спину... Сломал неаверное лет 6 назад, до сих пор болит!!!!
Заболела еще сильнее, когда бросил кататься... Просто стали ославбевать мышцы.
Хочу вернуться, надеюсь что спина пройдет!!!!
А у вас что нить было серьезное??
Если да, то что????
Цитата
Непрочитано 29.02.2008, 11:22   # 2
действующий ник user1
 
Аватар для @Gudron
 
Регистрация: 04.10.2006
Адрес: Минск
Возраст: 38
Сообщений: 2,060
Записей в дневнике: 6
Байк: Compact
@Gudron вне форума
когда начинал была левая нога, левое запятье и так по мелочам. Слава Богу сейчас без крупных травм
Цитата
Непрочитано 29.02.2008, 11:31   # 3
 
Аватар для Ura
 
Регистрация: 04.05.2005
Адрес: Санкт-Петербург
Возраст: 37
Сообщений: 420
Ura вне форума
заболело запястье...бросил триал...здоровье важнее
Цитата
Непрочитано 29.02.2008, 11:39   # 4
Лайтовый
 
Аватар для JEFF
 
Регистрация: 29.06.2005
Адрес: Москва - Калининград
Возраст: 36
Сообщений: 2,754
Записей в дневнике: 10
Байк: Ozonys Curve V8 - 8.2 kg.
Отправить сообщение для JEFF с помощью ICQ
JEFF вне форума
Цитата:
Сообщение от Ura
заболело запястье...бросил триал...здоровье важнее
не правильное решение
Цитата
Непрочитано 29.02.2008, 11:48   # 5
 
Аватар для -=Adamant7=-
 
Регистрация: 10.09.2007
Адрес: Калининград
Сообщений: 243
Отправить сообщение для -=Adamant7=- с помощью ICQ
-=Adamant7=- вне форума
Цитата:
Сообщение от JEFF
Цитата:
Сообщение от Ura
заболело запястье...бросил триал...здоровье важнее
не правильное решение
+1
Цитата
Непрочитано 29.02.2008, 12:02   # 6
 
Аватар для Hooligan
 
Регистрация: 22.05.2002
Адрес: Москва
Возраст: 40
Сообщений: 733
Записей в дневнике: 3
Байк: stark tt 04
Отправить сообщение для Hooligan с помощью ICQ
Hooligan вне форума
От триала у меня остался вывих плеча (на всю жизнь)
До этого был здоровеньким...
Цитата
Непрочитано 29.02.2008, 12:10   # 7
 
Аватар для ReVx
 
Регистрация: 21.01.2007
Адрес: МоскваМарьино
Сообщений: 83
Отправить сообщение для ReVx с помощью ICQ
ReVx вне форума
сломанная нога в начале и палец , щас по мелочам покоцки
Цитата
Непрочитано 29.02.2008, 12:11   # 8
кусачий
 
Аватар для vampir
 
Регистрация: 03.02.2004
Адрес: Вологда
Возраст: 38
Сообщений: 6,386
Записей в дневнике: 33
Байк: разный мод
Отправить сообщение для vampir с помощью ICQ
vampir вне форума
Щас иногда болит спина.трещины в лучевых костях,.
От баскетбола постоянно подворачиваю ноги и выбиваю пальцы.
В общем не здоровый.
Цитата
Непрочитано 29.02.2008, 12:34   # 9
действующий ник user1
 
Аватар для @Gudron
 
Регистрация: 04.10.2006
Адрес: Минск
Возраст: 38
Сообщений: 2,060
Записей в дневнике: 6
Байк: Compact
@Gudron вне форума
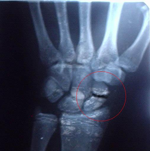
сломана ладьевидная кость 2.04.2005 само не сростается. нужна операция. Так до сих пор и не сделал
Миниатюры
Нажмите на изображение для увеличения
Название: gudron_911_173.jpg
Просмотров: 1769
Размер:	36.8 Кб
ID:	22700  
Цитата
Непрочитано 29.02.2008, 12:34   # 10
 
Аватар для Cooper
 
Регистрация: 14.11.2006
Адрес: vilnius-smolensk
Возраст: 37
Сообщений: 4,498
Записей в дневнике: 16
Байк: trialsmaster.net
Отправить сообщение для Cooper с помощью ICQ
Cooper вне форума
Цитата:
Сообщение от Lamers killer
Цитата:
Сообщение от JEFF
Цитата:
Сообщение от Ura
заболело запястье...бросил триал...здоровье важнее
не правильное решение
+1
лучше бы руль купил удобный и ручки тормозные настроил
Цитата
Непрочитано 29.02.2008, 12:42   # 11
 
Аватар для ZerO
 
Регистрация: 07.12.2003
Адрес: Москва(Латыркино(с))
Сообщений: 2,684
Отправить сообщение для ZerO с помощью ICQ
ZerO вне форума
никаких проблем воще. наиздоровейщий!
Цитата
Непрочитано 29.02.2008, 13:04   # 12
 
Аватар для #DroNN#
 
Регистрация: 15.01.2008
Адрес: Нижний Новгород
Сообщений: 62
Отправить сообщение для #DroNN# с помощью ICQ
#DroNN# вне форума
а у мну мышци иногда болят
Цитата
Непрочитано 29.02.2008, 13:23   # 13
 
Аватар для Ura
 
Регистрация: 04.05.2005
Адрес: Санкт-Петербург
Возраст: 37
Сообщений: 420
Ura вне форума
JEFF
думаешь?))я нашел замену триалу...и ни какой тяготи вернуться нет))а по поводу прально не прально...я посмотрю,что вы будите говорить в 40-ка летнем возросте)ИМХО...
Цитата
Непрочитано 29.02.2008, 13:25   # 14
ВидеоПират
 
Аватар для Xirurg
 
Регистрация: 13.06.2007
Адрес: Самый ЮГ Спб-Купчино!
Возраст: 44
Сообщений: 7,274
Байк: Maestro 26/Tryall/Rockman/Bonz/TNN.
Отправить сообщение для Xirurg с помощью ICQ
Xirurg вне форума
До занятий триалом занимался паэрлифтингом,во время становой тяги,что называется сорвал спину,немного сместил диск позвоночника и защемил нерв,боли были просто дикие в течении месяца полтора,думал все...это пинцет,спортом некогда не смогу заниматься,триал и всякие специальные упражнения вылечили меня,стал более гибким,спина тьфу тьфу тьфу перестала беспокоить,и я смог вернуться в тренажерный зал,главное я понял,даже на байке нужна правильная осанка,так как у многих спина болит,это все из-за неправильной стойки,не надо горбиться как бабуля и спина болеть не будет :idea:
Из травм на байке слава богу ничего серьезного,только плюсну стопы сломал две кости,и пару раз растяжение коленного сустава которое у меня уже привычным стало ,но я укреплею связки в тренажерном зале приседаю со штангой и тд...
PS. Триал это не только какое-то увлечение,получение удовольствия,снятия стресса,но и замечательный спорт,если подходить к нему грамотно и он может дать очень многое в плане здоровья!!И конечно же катать надо в шлеме,рука или нога сломалась все это фигня,а вот если голову проломишь или хороший сотряс получишь последствия могут быть очень серьезными,начиная от инсульта к годам 40 до комы...На своей работе я видел как молодые девчонки и парни оставались инвалидами на всю жизнь из-за казалось бы не очень серьезной травмы головы,и как люди получали инсульт в 25 лет...Не думайте,то что сходит с рук сейчас по молодости,в старости и не только,может аукнутся,так что одевайте защиту на голову
Цитата
Непрочитано 29.02.2008, 13:43   # 15
 
Аватар для miha
 
Регистрация: 28.09.2005
Адрес: Питер, комендана
Возраст: 37
Сообщений: 779
Байк: NS26
Отправить сообщение для miha с помощью ICQ
miha вне форума
у меня всё норм. однажды спину продуло-я покатал немного и всё прошло))
при катании нагрузка на руки=>спина разгружена.
Цитата
Непрочитано 29.02.2008, 13:49   # 16
 
Аватар для miha
 
Регистрация: 28.09.2005
Адрес: Питер, комендана
Возраст: 37
Сообщений: 779
Байк: NS26
Отправить сообщение для miha с помощью ICQ
miha вне форума
Цитата:
Сообщение от Xirurg
До занятий триалом занимался паэрлифтингом,во время становой тяги,что называется сорвал спину,немного сместил диск позвоночника и защемил нерв,боли были просто дикие в течении месяца полтора,думал все...это пинцет,спортом некогда не смогу заниматься,триал и всякие специальные упражнения вылечили меня,стал более гибким,спина тьфу тьфу тьфу перестала беспокоить,и я смог вернуться в тренажерный зал,главное я понял,даже на байке нужна правильная осанка,так как у многих спина болит,это все из-за неправильной стойки,не надо горбиться как бабуля и спина болеть не будет :idea:
Из травм на байке слава богу ничего серьезного,только плюсну стопы сломал две кости,и пару раз растяжение коленного сустава которое у меня уже привычным стало ,но я укреплею связки в тренажерном зале приседаю со штангой и тд...
PS. Триал это не только какое-то увлечение,получение удовольствия,снятия стресса,но и замечательный спорт,если подходить к нему грамотно и он может дать очень многое в плане здоровья!!И конечно же катать надо в шлеме,рука или нога сломалась все это фигня,а вот если голову проломишь или хороший сотряс получишь последствия могут быть очень серьезными,начиная от инсульта к годам 40 до комы...На своей работе я видел как молодые девчонки и парни оставались инвалидами на всю жизнь из-за казалось бы не очень серьезной травмы головы,и как люди получали инсульт в 25 лет...Не думайте,то что сходит с рук сейчас по молодости,в старости и не только,может аукнутся,так что одевайте защиту на голову
+1
с сутулой спиной всегда плохо.
Цитата
Непрочитано 29.02.2008, 14:44   # 17
TrialZone
 
Аватар для korney
 
Регистрация: 05.03.2004
Адрес: Mосква, СВАО.
Возраст: 36
Сообщений: 4,789
Записей в дневнике: 3
Байк: K124 Play- 24"
Отправить сообщение для korney с помощью ICQ Отправить сообщение для korney с помощью AIM Отправить сообщение для korney с помощью Yahoo
korney вне форума
Ломал кисть- иногда побаливает.
Цитата
Непрочитано 29.02.2008, 15:02   # 18
 
Аватар для Hooligan
 
Регистрация: 22.05.2002
Адрес: Москва
Возраст: 40
Сообщений: 733
Записей в дневнике: 3
Байк: stark tt 04
Отправить сообщение для Hooligan с помощью ICQ
Hooligan вне форума
Цитата:
Сообщение от miha
у меня всё норм. однажды спину продуло-я покатал немного и всё прошло))
при катании нагрузка на руки=>спина разгружена.
Я бы не сказал Одними руками байк долго не подергаешь, спина включается в работу это сто пудов, так как одни руки отсохли бы через 5 мин катания...
Хотя у меня после долгого перерыва в катании болят плечи почему то )) Спина в меньшей степени... Я думаю все зависит от стойки райдера и его стиля катания ))
Цитата
Непрочитано 29.02.2008, 15:07   # 19
 
Аватар для HEDGEHOG
 
Регистрация: 22.11.2002
Адрес: ЮЗАО м. Беляево
Сообщений: 208
Отправить сообщение для HEDGEHOG с помощью ICQ
HEDGEHOG вне форума
до триала ходил в кочалку начал заниматся усох собственно лутше стало вынослевей в качалке заработал бычье серце и аретмию.
триалом вылечил аретмию но заработал вывих голени оба запястья на праввой растежение указательного пальца и сломал большой палец (досихпор впровляю) собственно ето не останавлевает в холодную погоду катать из за этого трудновато, побаливает. но без триала не могу
Цитата
Непрочитано 29.02.2008, 16:27   # 20
 
Аватар для zhenya_[katze]
 
Регистрация: 01.06.2005
Адрес: Таллинн
Возраст: 36
Сообщений: 4,076
Байк: TSB Cruel 26"
zhenya_[katze] вне форума
на вмхе ломал ключицу , иногда побаливает . при сильных нагрузках
или при ударах . в триале так по мелочам , ссадины ушибы .
запястья постоянно хрустят и побаливают (опять же ели ушибаю) .
Цитата
Как здоровье?? | by Stan™
Ответить


Ваши права в разделе
Вы не можете создавать новые темы
Вы не можете отвечать в темах
Вы не можете прикреплять вложения
Вы не можете редактировать свои сообщения

BB коды Вкл.
Смайлы Вкл.
[IMG] код Вкл.
HTML код Выкл.

Быстрый переход


Часовой пояс GMT +4, время: 19:39.


Powered by vBulletin® Version 3.8.4
Copyright ©2000 - 2026, Jelsoft Enterprises Ltd. Перевод: zCarot